X-Anatomy
다운로드수 56-
4 (0명)
| 분류 | 의료 |
|---|---|
| 버전 | 버전 3.3.0 |
| 업데이트 | 2021년 3월 1일 |
| 용량 | 140MB |
| 앱결제 | ₩14,000 |
| OS | iPhone: iOS 12.0 이상 필요 / iPad: iPadOS 12.0 이상 필요 / |
| 디자인 | iPad용으로 디자인됨 |
| 금주 다운수 | 0 |
| 누적 다운수 | 56 |
| 다운로드 | |
|
!소프트웨어 사용범위 위반 시
법적 책임을 질 수 있습니다. |
|
상세정보
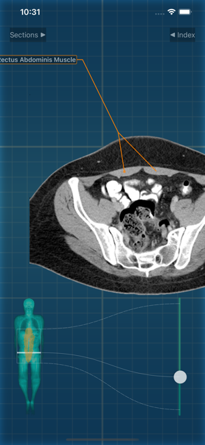
- Developed and used by physicians- Real human patient body scans.- Cross section anatomy reference - This PRO version includes ALL existing body section modules.X-Anatomy is a transaxial cross-sectional human anatomy interactive medical imaging atlas using CT images, designed for medical professionals & all students of anatomy. X-Anatomy is developed and maintained by board-certified physicians who were unsatisfied with the inadequacy of the existing anatomy apps and books with lack of clinically relevant detail or poor interface. We created X-Anatomy to use for ourselves, tested and used in clinical practice and as an interactive learning resource. Therefore, we developed and maintain these features:* Includes hundreds of images from actual human patient body scans.* Detailed anatomic notes about muscles, vessels, and key anatomic structures* Includes lymph node stations for neck cancers (AJR), breast cancers (AJCC), lung cancers (IASLC) used by surgeons, oncologists, radiologist
새로운 기능
- Includes upgrades to maintain compatibility with the latest iOS updates and devices- Minor bug fixes include faster and cleaner display of anatomy description boxes.- Updated the icon for compatibility and consistency with online and other upcoming projects.- Updated the links to the web and suppo
저작권
© 2011-2021 Isidoro.Medical.Engineering FPIMD
리뷰
- 소프트쉐어 신규 소프트웨어 추가 안내 2025.01.17
- 소프트쉐어 서비스 이용 가이드 업데이트 안내 2025.01.17
- 소프트쉐어 웹사이트 리뉴얼 안내 2025.01.17

























