EchoSource
다운로드수 36-
0 (0명)
| 분류 | 의료 |
|---|---|
| 버전 | 버전 1.5 |
| 업데이트 | 2019년 8월 9일 |
| 용량 | 146.8MB |
| 앱결제 | ₩3,300 |
| OS | iPhone: iOS 12.0 이상 필요 / iPad: iPadOS 12.0 이상 필요 / |
| 디자인 | iPad용으로 디자인됨 |
| 금주 다운수 | 0 |
| 누적 다운수 | 36 |
| 다운로드 | |
|
!소프트웨어 사용범위 위반 시
법적 책임을 질 수 있습니다. |
|
상세정보
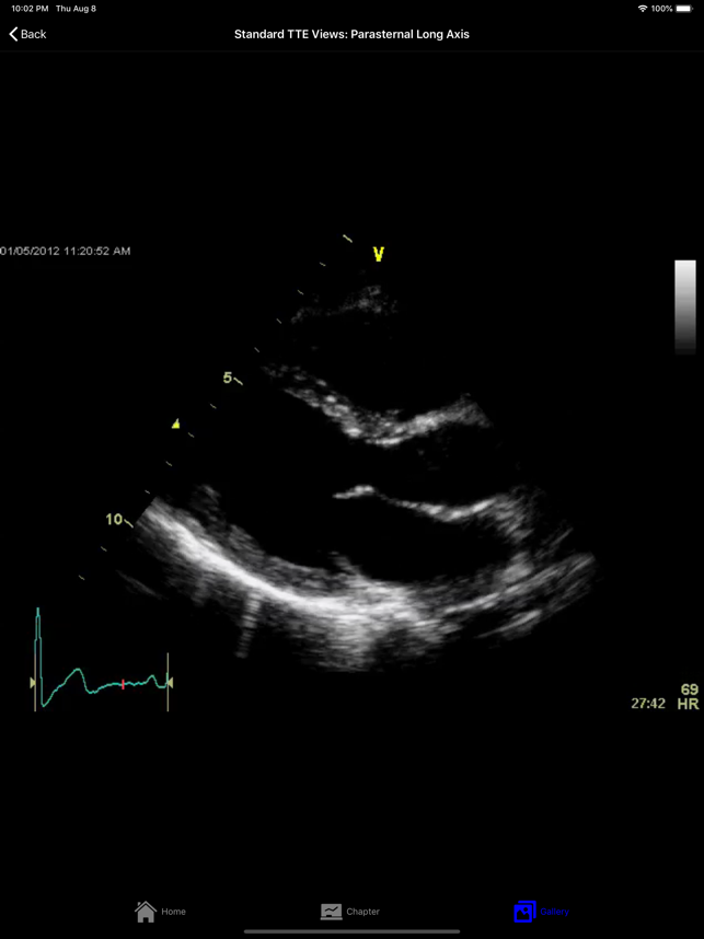
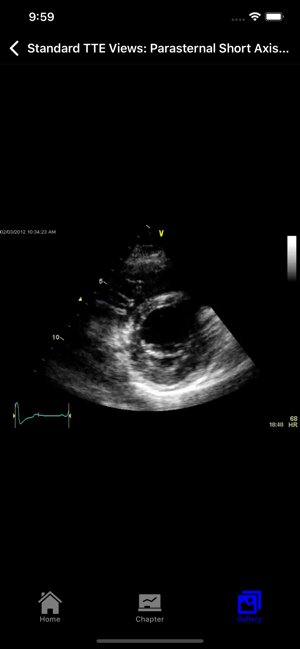
EchoSource (from the creators of ECGsource and CathSource) is a medical reference devoted exclusively to echocardiography. Developed by practicing cardiologists for both specialists and trainees in the field of cardiovascular disease, EchoSource offers the following content:* Searchable index of specialized topics including: History of EchocardiographyTransthoracic Echo – Learning the ProcedureTransesophageal Echo – Learning the ProcedureStandard Transthoracic Echocardiography ViewsStandard Transesophageal Echocardiography ViewsHemodynamics: Doppler OverviewHemodynamics: Color Flow ImagingHemodynamics: Transvalvular GradientsHemodynamics: Intracardiac PressuresHemodynamics: Cardiac Flow & the Continuity EquationHemodynamics: Proximal Isovelocity Surface Area (PISA)Left Ventricle: Systolic FunctionLeft Ventricle: Diastolic Function Valvular: Aortic StenosisValvular: Aortic RegurgitationValvular: Mitral StenosisValvular: Mitral RegurgitationValvular: Pulmonic StenosisValvular: P
새로운 기능
Fixed video issues for latest iPhone models
저작권
© 2018 ECGsource LLC
리뷰
- 소프트쉐어 신규 소프트웨어 추가 안내 2025.01.17
- 소프트쉐어 서비스 이용 가이드 업데이트 안내 2025.01.17
- 소프트쉐어 웹사이트 리뉴얼 안내 2025.01.17












