Muscle
다운로드수 36-
0 (0명)
| 분류 | 의료 |
|---|---|
| 버전 | 버전 1.0.3 |
| 업데이트 | 2021년 10월 8일 |
| 용량 | 19.6MB |
| 앱결제 | 무료 |
| OS | iPhone: iOS 11.0 이상 필요 / iPad: iPadOS 11.0 이상 필요 / |
| 디자인 | iPad용으로 디자인됨 |
| 금주 다운수 | 0 |
| 누적 다운수 | 36 |
| 다운로드 | |
|
!소프트웨어 사용범위 위반 시
법적 책임을 질 수 있습니다. |
|
상세정보
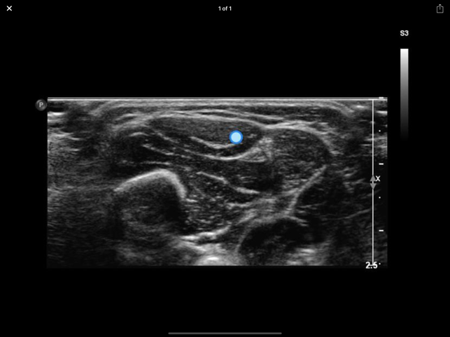
• Improve your skills in identifying muscles and neighbouring structures using ultrasound! • Instructive ultrasound cross-sectional images and videos• Plus: cross sections, scouts and the option for individual annotations• Use it as a Point-of-care APP on your smart phone or as a reference APP for anatomical studies. • Online content for quick reference and updates. Download option for permanent availabilityEntwickler App: Quickbird Studios GmbH, www.quickbirdstudios.comEntwickler Content: Child & Brain GmbH, www.childandbrain.com
새로운 기능
- Kompatibilität mit iOS 15
저작권
© 2018 Child & Brain GmbH
리뷰
- 소프트쉐어 신규 소프트웨어 추가 안내 2025.01.17
- 소프트쉐어 서비스 이용 가이드 업데이트 안내 2025.01.17
- 소프트쉐어 웹사이트 리뉴얼 안내 2025.01.17












